+7 (499) 517 94 01
Москва
+7 (499) 517 94 01 Москва
+7 (812) 926 42 30 Санкт-Петербург
+7 (861) 242 42 60 Краснодар
+7 (930) 700 20 03 Нижний Новгород
+7 (913) 479 07 80 Сибирский Ф.О.
8-912-307-2030 8-800-234-0074 Уральский ФО
+420 (775) 339-538 Ближний Восток
Каталог (pdf) KOHLER
+7 (499) 517 94 01
+7 (499) 517 94 01
+7 (499) 517 94 01 Москва
+7 (812) 926 42 30 Санкт-Петербург
+7 (861) 242 42 60 Краснодар
+7 (930) 700 20 03 Нижний Новгород
+7 (913) 479 07 80 Сибирский Ф.О.
8-912-307-2030 8-800-234-0074 Уральский ФО
+420 (775) 339-538 Ближний Восток

Статьи

13 июня 2021
Преимущества наборов для костной пластики: результаты исследований in vivo
1 декабря 2020
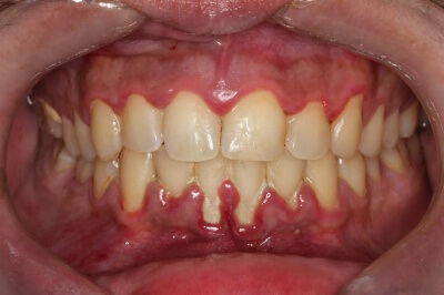
Влияние частичной потери зубов на здоровье ротовой полости
13 декабря 2020
Хирургическое замещение костных дефектов, образовавшихся в результате резекции опухолей
19 января 2021
Хирургические методы подготовки челюстей к дентальной имплантации
3 октября 2021
Набор для костной пластики: барьерная мембрана плюс гидроксиапатит
24 апреля 2021
Репаративная регенерация костной ткани челюстно-лицевой области
28 февраля 2021
Остеопластические материалы животного происхождения: научные данные
31 марта 2019
Остеопластические материалы: что предпочитают пациенты?
22 декабря 2021
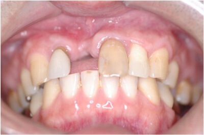
Непосредственная имплантация с немедленной нагрузкой: материалы, особенности и преимущества метода
8 октября 2020
Сравнение остеопластических материалов для спондилодеза
30 января 2020
Профилактика атрофии альвеолярного отростка с помощью костнопластических материалов
23 января 2020
Непосредственная имплантация с аугментацией кости и немедленной нагрузкой у пациентов, страдающих генерализованным пародонтитом
13 января 2020
Аугментация альвеолярного отростка: факторы стабильности костного аугментата
2 декабря 2019
Лечение дефектов зубных рядов, осложненных зубочелюстными деформациями
27 ноября 2019
Лечение гингивита и пародонтита: современные препараты (гель «Гликодент»), хирургические методики и роль сГАГ в регенерации костной ткани
21 ноября 2019
Практические аспекты репаративного остеогенеза: принципы, этапы, биологические факторы и остеопластические материалы для клинического применения
65 - 80 из 88